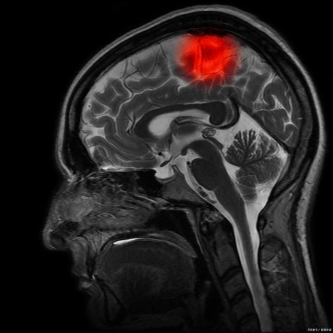
这种头痛小心是癌症信号 警惕颅内定时炸弹!头痛,这个被现代人视作“家常便饭”的小毛病,正在成为生命的隐形杀手。12月13日,61岁的著名演员何晴因脑瘤离世,将“颅内肿瘤”这一医学名词再次推到公众眼前。南京医科大学第二附属医院神经外科主任关靖宇指出,多数患者就诊时,肿瘤已经压迫到关键神经。当我们在办公室吞下止痛药,在深夜揉着发胀的太阳穴时,可曾想过,这看似普通的头痛背后,可能藏着一个正在疯狂生长的“颅内定时炸弹”?

颅腔是人体最精密的器官——大脑的居所,容积仅约1450毫升。正常颅压维持在80-180mmH₂O之间。当肿瘤细胞在颅内悄然滋生,每增长1立方厘米,就相当于向这个“高压锅”里强行塞进一颗核桃。数据显示,脑胶质瘤患者从出现头痛到确诊,平均延误时间长达7.3个月,这段时间里,肿瘤体积可能已增长3-5倍。

更危险的是脑瘤症状的“伪装性”。何晴曾在采访中提到“经常偏头痛”,这与83%的脑瘤患者首发症状高度吻合。但多数人会将其归咎于“压力大”“没睡好”,甚至自行服用止痛药。关靖宇团队临床统计显示,因头痛就诊的患者中,仅2.7%最终确诊脑瘤,但这2.7%的漏诊率意味着每37个头痛患者中就可能有1人错失最佳治疗时机。当头痛伴随“晨起加重”“咳嗽时剧痛”“呕吐后缓解”这三个特征时,颅压升高的可能性已达89%,此时CT检查的必要性堪比心梗患者做心电图。
一小区多只猫咪接连离奇死亡 业主怀疑是人为
近日,贵州贵阳万科金域华府小区发生了一起流浪猫接连死亡的事件。吴阿姨发现她喂养多日的流浪猫在小区内离奇死亡,其中一只叫“小委屈”的猫咪是她在半年前开始喂养的。吴阿姨和一些邻居在小区内为这些流浪猫安置了多处温暖的小窝,并每天提供猫粮和水
0评论2025-12-1612
清河站发出张家口“冰雪邀约” 高铁50分钟直达冬奥之城
12月15日下午2点半,在清河站二层候车大厅内,张家口文旅局工作人员向来往旅客推荐当地旅游资源,并向北京旅客发出“冰雪邀约”。清河站内设有开放式展位,展示“冲冲”文创玩偶、蔚县剪纸、冰雪主题饰品等特色产品
0评论2025-12-1615
东北迎来新的发展机遇,时代大拐弯
东北迎来新的发展机遇。“全国都有东北人,唯独东北没啥人”这是网上流传的一句话,背后是过去十年,东三省常住人口减少了1250万,相当于沈阳加鞍山的人口总和。东三省2024年总人口9501万(辽宁4155万,吉林2317万,黑龙江3029万)。...
0评论2025-12-1615
美招募1000名工程师打造“科技力量” 重塑政府机构
美国政府网站显示,特朗普政府启动了一项计划,旨在招聘1000名工程师进入联邦政府部门任职,任期为两年。这些工程师需要具备软件工程、人工智能、网络安全和数据分析等专业技能。他们将被分配到政府机构内部的职位,其中大多数岗位位于华盛顿特区
0评论2025-12-1616